USLUGE

Kako bi vam pružili kvalitetan i detaljan pregled koristimo rengen uređaj KAVO OP 3D Pro s kojim možemo napraviti 2D rengensku snimku čeljusti (Ortopan) ili 3D snimku (CBCT čeljusti).
Pojedinačne snimke snimamo sa digitalnim KAVO FOCUS rengenom i tankim digitalnim senzorima Digora Optime. Sve snimke ispisujemo na visokokvalitetnoj medicinskoj foliji i u digitalnom obliku na DVDu.

2D dijagnostika

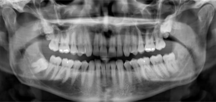
Rengenska snimka cijele čeljusti (Ortopan) koristimo je uvijek prilikom prvog pregleda da bi se vidjelo stanje svih zuba i okolne kosti te tokom kontrolnih snimki kod protetskih i implantoloških radova.

Uređaj koji koristimo prilikom slikanja ortopana snima 5 slojeva snimke unutar jedne ekspozicije tako da se dobije što bolji prikaz čeljusti i zubi.

Pojedinačna snimka zuba - (intraoralna snimka) - Snimka prikazuje detaljnije i preciznije stanje zuba i okolne kosti.

Koristimo je uvijek za precizniju dijagnostiku patoloških stanja zuba i okolne kosti te nakon liječenja zuba.

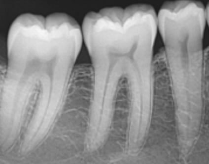
Bitewing snimka zubi - To je snimka stražnjih gornjih i donjih zuba, koristi se za detekciju početnog karijesa između stražnjih zubi.

Početni karijes između zubi se teško dijagnosticira prilikom kliničkog pregleda pa je preporučljivo napraviti ovu snimku za detekciju karijesa.

3D dijagnostika

CBCT - je trodimenzionalna snimka zubi i okolne kosti koja se koristi za najdetaljniju i najprecizniju dijagnostiku. Prednost ove snimke je u tome što vidimo zube i okolnu kost u svim dimenzijama. Najčešće nam koristi prilikom implantoloških i kirurških zahvata i kod fraktura zuba.
Snimke se pregledavaju u OnDemand 3D programu.

Snimka maksilarnih sinusa - snimka nam služi za dijagnostiku patoloških stanja sluznice sinusa, povezanosti upale zuba sa sinusom te se koriste kao standardna pretraga kod specijalista otorinolaringologa.

Snimke čeljusnih zglobova - snimka nam služi za dijagnostiku patoloških promjena na tvrdim tkivima zglobne strukture temporomandibularnog zgloba.

Uređaj koji mi koristimo ima mogućnosti snimanja u 4 rezolucije. Tako se količina zračenja može kontrolirati i smanjiti ovisno o indikaciji koju postavi Vaš doktor.

Kontaktirajte nas

Zubni 3d digitalni Rentgen

I. Cvjetna 4, Novaki, 10431 SV. NEDELJA
RADNO VRIJEME:

© 2018 Zubni 3d digitalni Rentgen | Politika privatnosti i Politika o kolačićima

Web design by Pale Media Design